You are currently viewing Eosinophil(호산구) 수치 가이드 정상 범위와 호산구 증가증의 원인

Eosinophil(호산구) 수치 가이드 정상 범위와 호산구 증가증의 원인

Eosinophil Analysis Report: 우리 몸의 면역 파수꾼, ‘호산구’ 정밀 분석 리포트

“혈액 검사 결과지에서 Eosinophil 수치가 높다는 말을 들으셨나요? 임상병리사가 설명해 드립니다.”

일반혈액검사(CBC) 결과지를 보면 백혈구의 종류가 여러 개로 나뉘어 있는 것을 볼 수 있습니다. 그중에서도 Eosinophil(호산구)는 현미경으로 관찰했을 때 붉은색의 화려한 알갱이(과립)를 품고 있어 ‘혈액 속의 붉은 전사’라고도 불립니다. 보통 호산구 수치가 높으면 “알레르기가 있나 보네요”라는 말을 듣게 되지만, 임상 현장에서는 기생충 감염부터 자가면역 질환, 심지어 특정 암의 신호로 보기도 합니다.

오늘의 전문 리포트 목차

  1. Eosinophil(호산구)이란 무엇인가요?
  2. 호산구 정상 수치 범위 (백분율 및 절대 수치)
  3. 호산구 수치가 높아지는 원인 (호산구 증가증)
  4. 임상병리사가 PBS 현미경으로 보는 호산구의 특징
  5. 종종이아빠의 조언: 일시적 상승인가, 지속적 상승인가?

1. Eosinophil(호산구)이란?

호산구는 백혈구의 한 종류로, 우리 몸에 들어온 알레르기 유발 물질이나 기생충을 공격하는 역할을 합니다. 이름의 ‘호산(Eosinophil)’은 산성 염료인 ‘에오신(Eosin)’에 잘 염색된다는 뜻에서 유래되었습니다.

  • 주요 기능: 알레르기 반응 조절, 기생충 감염 방어, 염증 반응 유도.
  • 특징: 세포질 내에 독성 단백질을 포함한 붉은 과립이 가득 차 있어, 적을 파괴하는 강력한 무기를 가진 세포입니다.

2. Eosinophil 정상 수치 가이드

호산구 수치는 보통 전체 백혈구 중의 비율(%)과 혈액 1μL당 절대 개수(Absolute count)로 표시됩니다.

구분정상 범위
백분율(%)1% – 5%
절대 수치 (ANC)50 – 500 cells/uL

참고: 절대 수치가 500 이상일 경우를 ‘호산구 증가증(Eosinophilia)’이라고 합니다.



3. 호산구 수치가 높아지는 원인 (Eosinophilia)

호산구가 증가했다는 것은 우리 몸 어딘가에 ‘전쟁’이 일어났다는 뜻입니다.

  • 알레르기 질환: 천식, 알레르기성 비염, 아토피 피부염, 약물 과민반응 등이 가장 흔한 원인입니다.
  • 기생충 감염: 최근에는 줄어들었지만, 민물고기 회나 생식을 통한 기생충 감염 시 수치가 폭발적으로 상승합니다.
  • 자가면역 질환: 혈관염이나 류마티스 질환 등 면역 체계가 자신을 공격할 때도 증가합니다.
  • 특정 암종: 드물게 호지킨 림프종이나 특정 백혈병에서도 호산구가 비정상적으로 늘어날 수 있습니다.

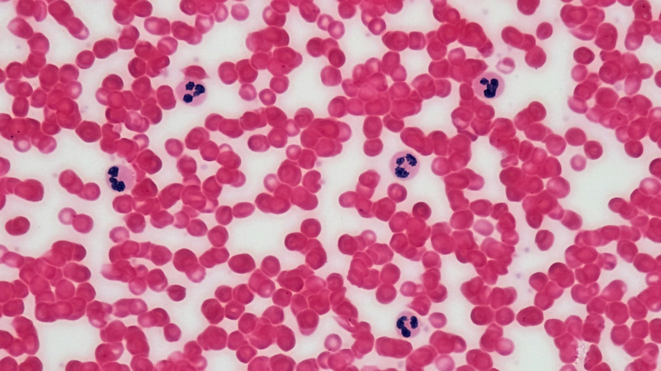
4. 임상병리사가 PBS 현미경으로 보는 호산구

자동화 장비가 호산구 수치를 띄우면, 저는 슬라이드를 만들어 현미경을 봅니다. 이때 호산구의 ‘과립 상태’가 매우 중요합니다.

  • 탈과립(Degranulation): 호산구가 적과 싸우기 위해 붉은 알갱이를 밖으로 뿜어낸 모습이 보인다면, 현재 매우 활발한 염증 반응이 진행 중임을 의미합니다.
  • 모양 변화: 핵의 모양이 평소와 다르게 쪼개져 있거나 변형되어 있다면, 골수 질환의 가능성을 열어두고 정밀 분석에 들어갑니다.

5. 임상병리사 종종이아빠의 조언

검사실에서 수천 명의 데이터를 보다 보면, 호산구 수치 하나만으로 건강을 단정 지을 수는 없습니다.

  • 동반 증상을 확인하세요: 수치가 7~8% 정도로 약간 높으면서 가려움증이나 재채기가 있다면 알레르기일 가능성이 90% 이상입니다.
  • 지속성이 중요합니다: 한 번 높게 나왔다고 걱정하기보다, 2~4주 뒤 재검사에서도 계속 높다면 반드시 정밀 원인 분석(IgE 검사, 기생충 항체 검사 등)을 받아야 합니다.
  • 임상병리사의 한마디: 호산구는 우리 몸을 지키는 고마운 세포입니다. 수치가 높다는 것은 내 몸이 열심히 싸우고 있다는 증거이니, 너무 두려워 마시고 정확한 ‘전장’이 어디인지 전문가와 함께 찾으시길 바랍니다.

자주 묻는 질문(FAQ)

Q: 호산구 수치가 0이 나왔어요. 큰 병인가요?
A: 호산구는 정상 상태에서도 매우 적기 때문에 0이나 0.1 정도로 낮게 나오는 것은 대개 큰 문제가 되지 않습니다. 다만 심한 스트레스나 스테로이드 복용 시 일시적으로 낮아질 수 있습니다.

마치며

Eosinophil 검사는 내 몸 안의 보이지 않는 알레르기와 기생충을 찾아내는 정밀한 레이더입니다.

참고 문헌: ASH (American Society of Hematology) | Mayo Clinic: Eosinophilia

주의사항: 본 리포트는 학술적 정보 제공을 목적으로 하며, 수치 이상에 따른 최종 진단 및 치료 계획은 반드시 전문 의료진의 진료를 통해 결정하시기 바랍니다. 사이트 운영 정책은 개인정보처리방침을 준수합니다.


현직 임상병리사 종종이아빠의 혈액 정밀 분석 리포트 | 개인정보처리방침

🏠 홈으로 | 👨‍🔬 블로그 소개

답글 남기기